หน้าแรก
ผลงานของเรา
อัตราค่าบริการ
EN
ผลงานของเรา
ผู้ป่วยสูญเสียฟันไปเกือบหมด ส่งผลให้มีปัญหาด้านการใช้งานและความสวยงามอย่างมาก การไม่มีฟันหลังทำให้สูญเสียมิติแนวตั้ง ทำให้การเคี้ยวและการทำงานผิดปกติลดลง ฟันหน้าหายไป ส่งผลให้พูดไม่ชัด ทำให้หายใจไม่ออกขณะออกเสียง และส่งผลกระทบอย่างรุนแรงต่อความมั่นใจของผู้ป่วยเมื่อพูดหรือยิ้ม สภาพร่างกายนี้ยังส่งผลต่อสุขภาพจิตของผู้ป่วยอีกด้วย
Before - After
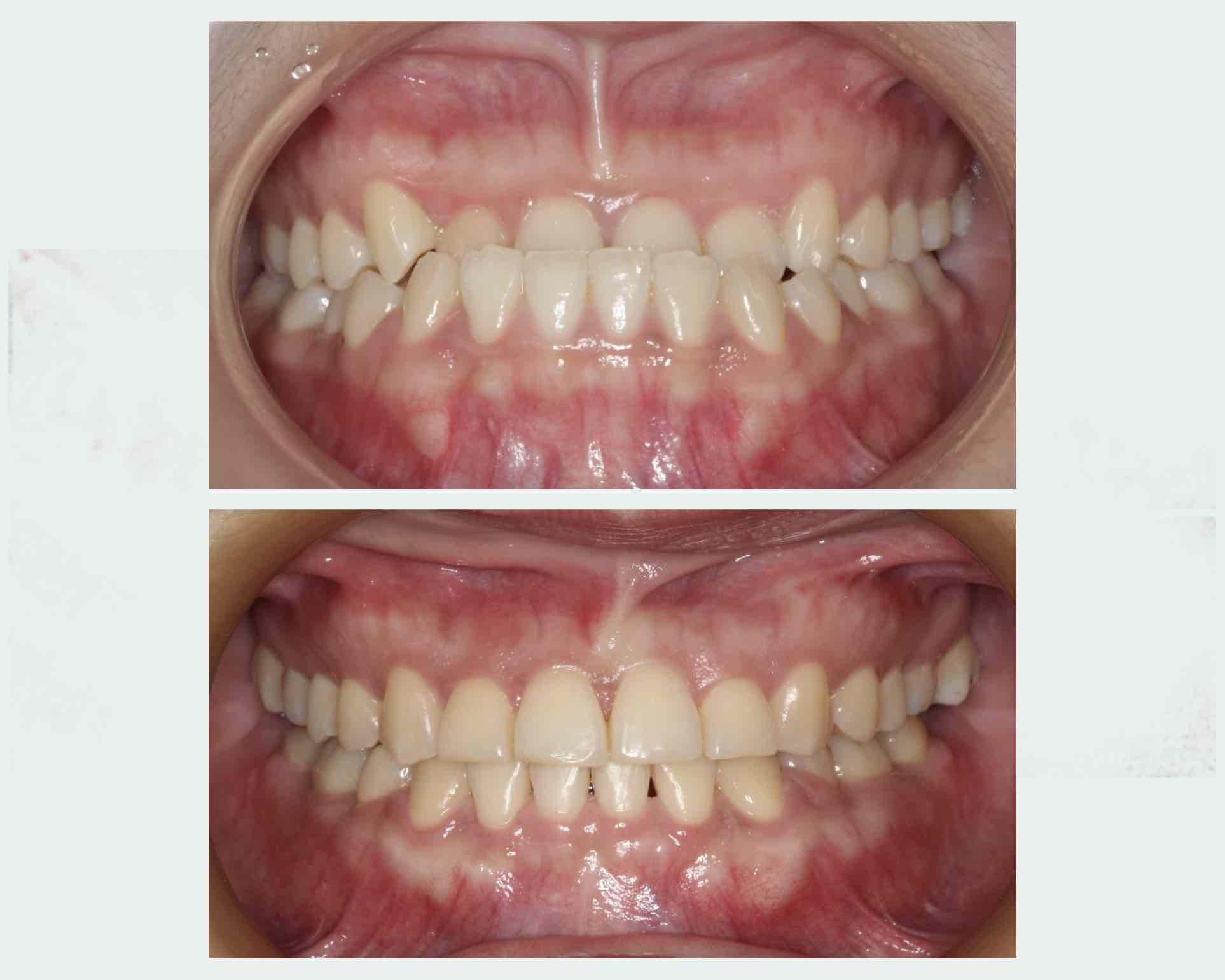
จัดฟันแก้ไขปัญหาการขึ้นของฟัน และขากรรไกรที่อยู่ในตำแหน่งที่ไม่ถูกต้อง การสบฟันและการเรียงตัวของฟันที่ผิดปกติ ด้วยการติดเครื่องมือจัดฟันลงบนฟัน
Before - After
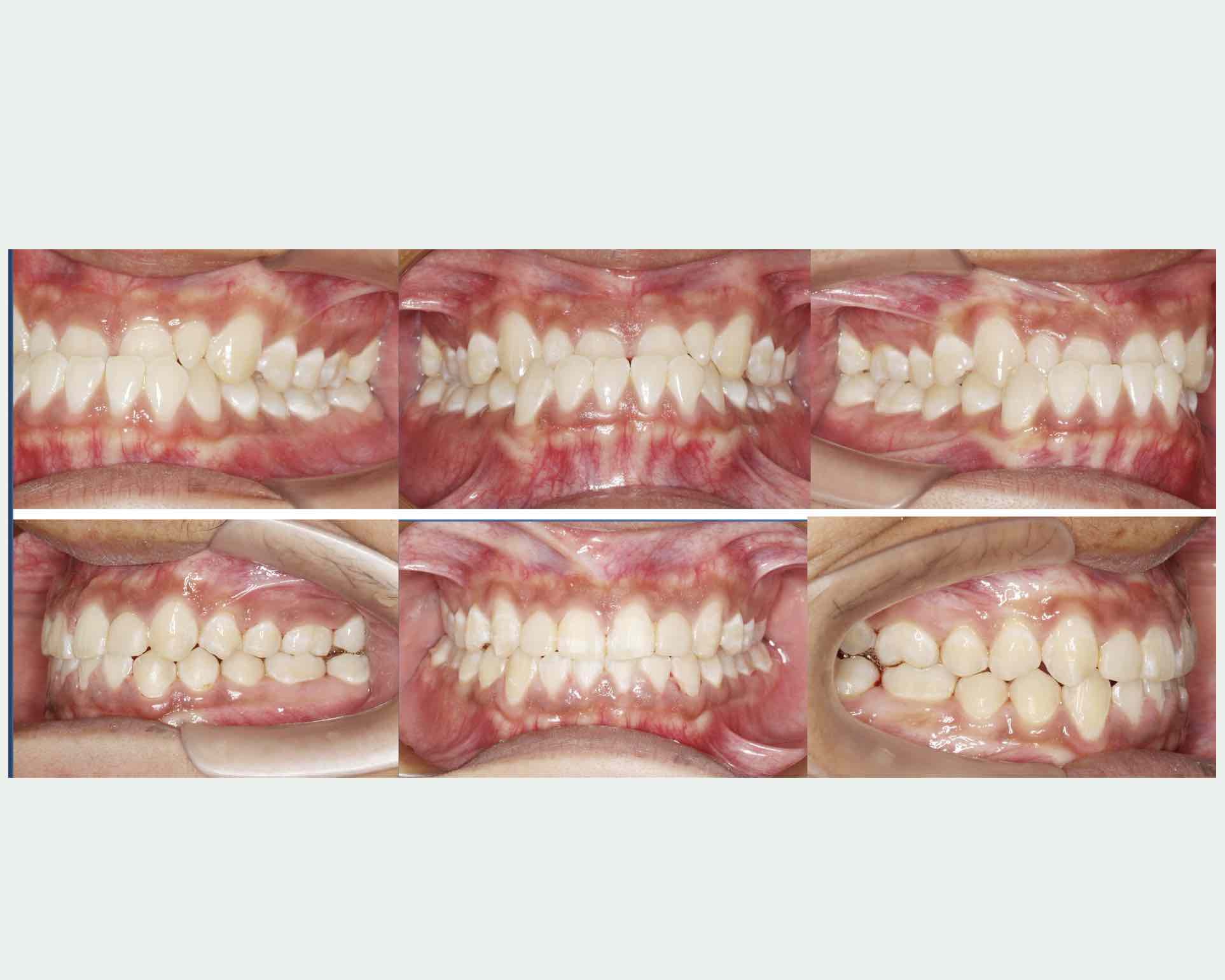
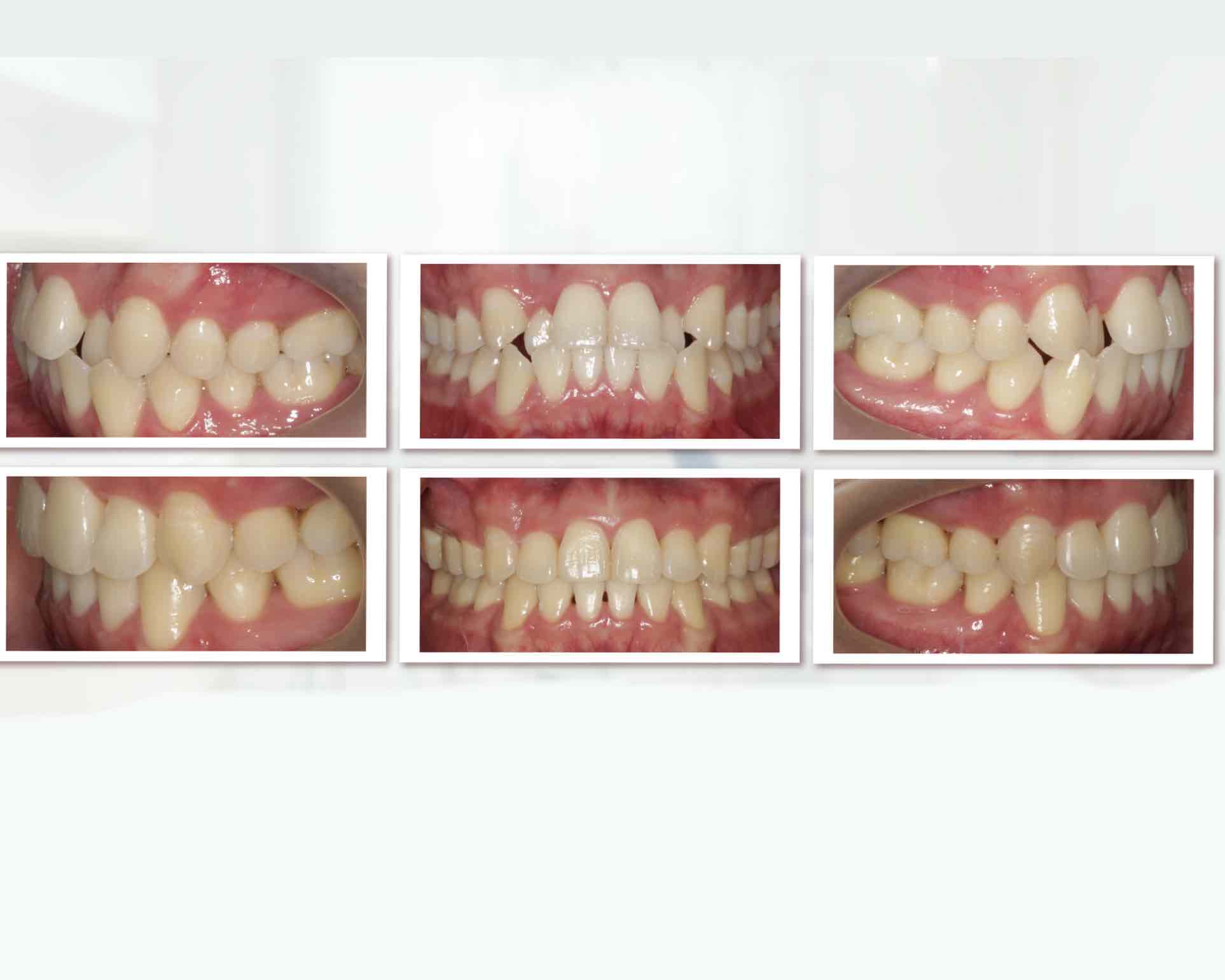
จัดฟันแก้ไขปัญหาการขึ้นของฟัน และขากรรไกรที่อยู่ในตำแหน่งที่ไม่ถูกต้องการสบฟันและการเรียงตัวของฟันที่ผิดปกติ
Before - After
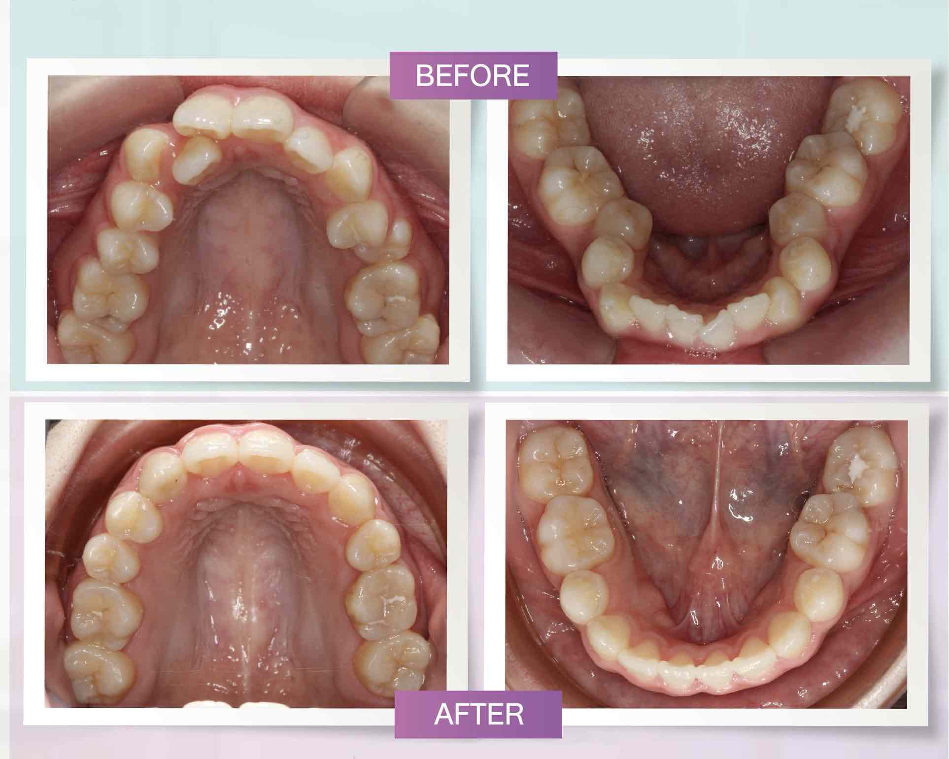
สิ่งสำคัญที่สุดของการจัดฟัน
คือ หลังจัดฟันแล้วต้องตรวจเช็ครีเทนเนอร์ คลินิกของเราดูแลตรวจเช็ครีเทนเนอร์ให้กับผู้เข้ารับบริการอย่างสม่ำเสมอ
Before - After
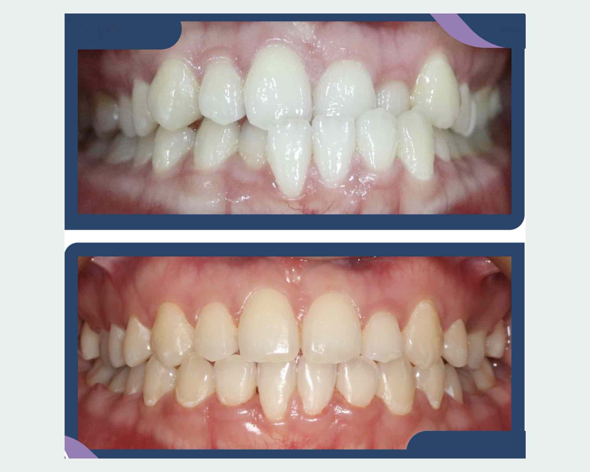
เคสจัดฟัน
ปรึกษาจัดฟันกับทันตแพทย์ฟรี!! ไม่มีค่าใช้จ่าย
Before - After
เคสจัดฟัน
หลังรื้อเครื่องมือ ครบ 1 ปี
Before - After
REVIEW เคสจัดฟัน
**หมายเหตุ : ผลการรักษาขึ้นอยู่กับแต่ละบุคคล
Before - After
เคสจัดฟันใส ร่วมกับการถอนฟันเพื่อแก้ฟันยื่น
Before - After
รีวิวเคสจัดฟันแบบใส invisalign ร่วมถอนฟันและผ่าตัดขากรรไกร
Before - After
รีคิวเคสจัดฟัน : ฟันสบคร่อม ฟันล่างคร่อมฟันบน